Appareillage d'orthodontie

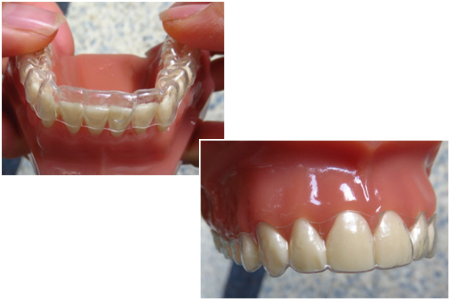
L’appareillage peut être amovible : par exemple la présence d’un « faux palais » en résine qui prend place sur votre palais, ou des gouttières.
Ils peuvent parfois gêner votre élocution par l’encombrement qu’ils procurent. Cette gène ne dure pas longtemps si l’appareil est bien porté.
L’appareillage peut être fixe, avec par exemple des bagues et/ou des brackets collés ou scellés aux dents.
Cela peut engendrer des petites blessures au niveau de la face interne des lèvres et des joues. Des cires de confort vous seront fournies pour y remédier.


