Aligneur
LES GOUTTIERES dans le traitement actif : pour déplacer les dents.
Confortable, transparent et amovible, le système d’alignement par gouttières est un appareil orthodontique personnalisé, qui déplace les dents progressivement avec efficacité et douceur. On peut aussi parler d’aligneurs.

Ce type d’appareil ne convient cependant pas à toutes les dysmorphoses dentaires. Il est nécessaire de consultez votre orthodontistepour savoir si cet appareil peut vous convenir en fonction du problème et du résultat souhaité.
Selon votre demande, vous évaluerez avec votre praticien la possibilité d’un traitement de correction dentaire par gouttières d’alignement. Après confirmation de la possibilité de bénéficier d’un traitement avec ce type d’appareil, il prendra des photos, des radiographies, des empreintes dentaires de votre dentition.
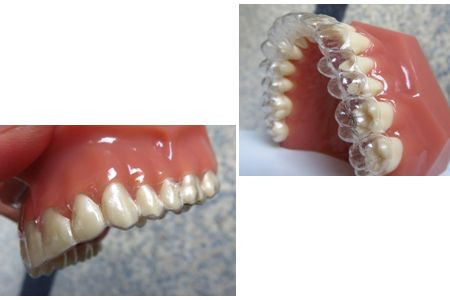
Vos gouttières seront fabriquées sur mesure et s’ajusteront parfaitement à votre ligne gingivale vous apportant un confort durant les 22 heures de port par jour recommandé.
Chaque gouttière portée correspond à une étape de correction progressive de votre dentition. Chaque gouttière est remplacée en moyenne toutes les 2 à 3 semaines suivant la prescription de votre praticien. Tout au long de votre traitement, votre praticien sera à vos côtés.

Les gouttières, amovibles et quasiment invisibles, vous permettent de suivre le cours de votre vie normalement, tout en suivant un traitement orthodontique.
Votre entourage remarquera davantage votre nouveau sourire que la gouttière elle-même.
Amovibles, les gouttières se retirent facilement afin de vous permettre de manger normalement, de vous brosser les dents, de conserver une hygiène buccale seine ou de pratiquer votre activité sportive en toute sérénité.
N’hésitez pas à demander plus de renseignements à votre praticien !

LES GOUTTIERES dans le traitement passif : pour maintenir le résultat.
La phase de rétention orthodontique, aussi appelée contention orthodontique, a pour but de minimiser les déplacements dentaires et de maintenir les corrections obtenues pendant la période initiale suivant l’enlèvement des appareils correcteurs (broches ou autres).
Afin d’assurer une stabilité optimale à la fin d’un traitement, nous utilisons des appareils de contention qui, pour être efficaces, doivent être portés tels que prescrits. Même si la majorité des résultats seront habituellement stables, pour des raisons hors de notre contrôle ou du vôtre, il peut y avoir certains relaps dans la position d’une ou plusieurs dents. Si un relaps est important, ce qui est peu fréquent, il faudra réévaluer si des mesures additionnelles doivent être prises pour en freiner l’évolution ou si d’autres corrections sont indiquées.
La plupart du temps la période de contention est réalisée avec un appareil amovible, comme les gouttières, qui sera porté au minimum la nuit.


